New Teeth In One Day
With Dental Implants

Life-Changing Dental Implant Results Start Here!

The Most Comfortable, Cost Effective Dental Implant Transformation ever!

If you are living with missing or damaged teeth, you've been through enough stress. Let us take it from here...


In just one day, we can facilitate a life changing transformation with dental implants
Are You A Candidate?
Risk-Free Consultation

Results that Last

At Dental Specialists & Implant Center, you’ll receive personalized care from top dental professionals, all in one convenient location. Our state-of-the-art facility ensures the highest standards of safety and comfort. Led by Dr. Adriana Wells, our team provides expert care in treatment planning and restorative solutions, ensuring the best possible outcomes.

We stand behind our work!

We now offer a Full Warranty on all Full Mouth Implant Treatments with a permanent zirconia bridge! This gives you peace of mind to know that you are not only getting great value when you move forward with the treatment, but that this treatment will stand the test of time!

*Terms & Conditions Apply*

Who Is A Candidate?

If You 

Are currently dealing with loose or missing teeth

If You

suffer from moderate to severe periodontal disease

If You

suffer from bone loss in your jaw

If You

Are currently in a denture or a partial

Who Is A Candidate?

If You 

Are currently dealing with loose or missing teeth

If You 

suffer from moderate to severe periodontal disease

If You 

suffer from bone loss in your jaw

If You 

Are currently in a denture or a partial

The Right Solution for Every Smile

Explore our dental implant options, using the latest technology to restore your smile beautifully and functionally.

Single Dental
Implant



Multi-Implant
Bridge



Implant Stabilized Overdentures



Full Fixed Set
of Teeth



Get information on Pricing & Options

Answer these short questions and learn everything you need to know in 60 seconds.

How Do I Start?

In one quick, easy, risk-free consultation, you will learn:

To Speak With one of our dental implant experts, call now!

You Deserve the Best

When it comes to full-mouth rehabilitation with dental implants, you deserve the highest level of care. At Dental Specialists & Implant Center, we offer a comprehensive approach with expert treatment planning, surgical precision, and prosthetic artistry—all in one location.

With cutting-edge technology and decades of experience, our team delivers exceptional implant care, ensuring outstanding results for every patient. Dr. Adriana Wells and their team are trusted to handle even the most complex cases, getting it right the first time, every time.

Empower Your Smile!

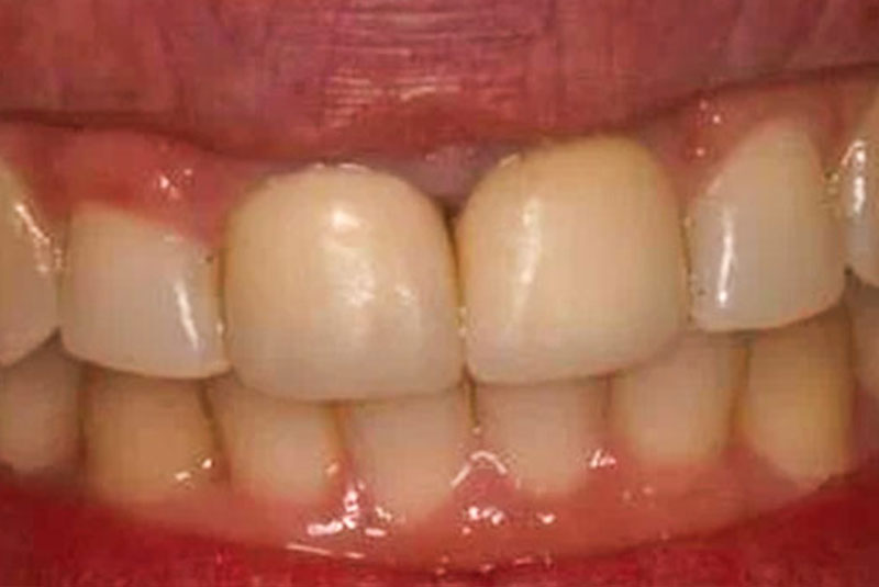
Before After
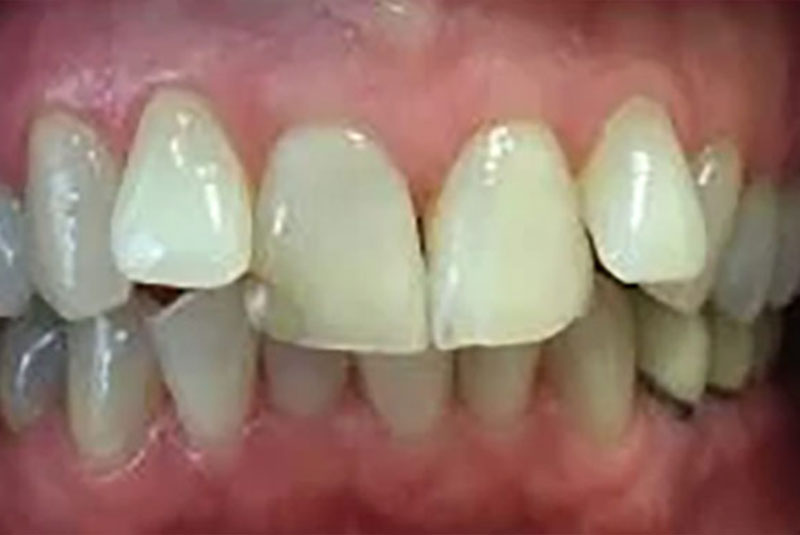
Before After
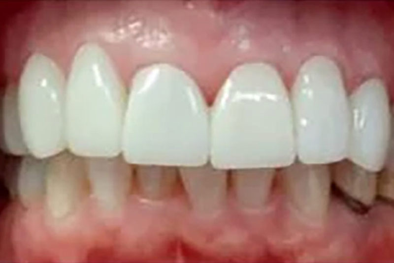
Before After

Superior Treatments ... Better Results ... at the Best Price!

Superior Treatments ...
Better Results ...
at the Best Price!

Years Of Experience
1 +

Meet Dr. Adriana Wells

At our practice, Dr. Wells isn’t just your dental specialist; she’s a multifaceted individual dedicated to your well-being both inside and outside the dentist’s chair. With a passion for dentistry matched only by her love for reading, dancing, and nurturing her family, Dr. Wells brings a unique blend of expertise and warmth to every appointment.

As a loving wife and mother to her teenage daughter, Susi, Dr. Wells understands the importance of family and extends that same care and consideration to each of her patients. Your comfort is her priority, and she is committed to providing not only top-quality care but also a friendly and compassionate atmosphere that feels like home.

Dr. Wells sees her patients as more than just names on a chart; she sees them as part of her extended family. This dedication to excellence extends beyond her own efforts; she recognizes the invaluable contribution of her committed and dedicated staff in delivering the exceptional service you deserve.

When you choose Dr. Wells as your dental provider, you’re not just choosing a dentist – you’re joining a caring community dedicated to your dental health and overall well-being. Welcome to our family.

Our Patients tell the story best

Our Patients tell
the story best

Free Consultation

Office Location

3117 College Park Dr Suite 230
The Woodlands, TX 77384,
Behind Panera Bread

Office Hours

Monday: 8:00am – 5:00pm
Tuesday: 7:00am – 3:00pm
Wednesday: 8:00am – 5:00pm
Thursday: 7:00am – 3:00pm
Friday: 8:00am – 1:00pm
Saturday & Sunday: Closed

Get information on Pricing & Options

Answer The Following Questions To Learn More About Our Pricing And Financing Options.